New Patients Welcome • Call us today at
905-523-5525
Menu
Home
About Us
Dental Care Services
Restorative
Cosmetic Dentistry
Hygiene/Periodontal Maintenance
Major Restorative – Dentures
Emergency Appointments
Whitening
Night Guards
Sport Guards
Wisdom Teeth Removal
Our Team
Testimonials
Photo Gallery
Contact
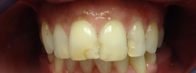
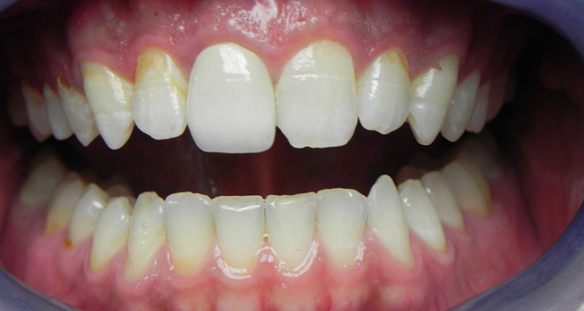
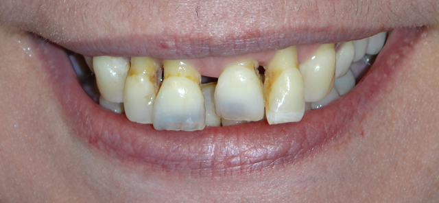
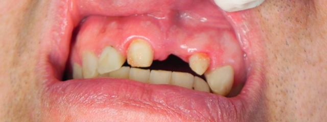
Photo Gallery
Before
After
Downtown Main Dental
Finding the right solution to all of
your dental needs.
Call today to book your next appointment.
Contact Us